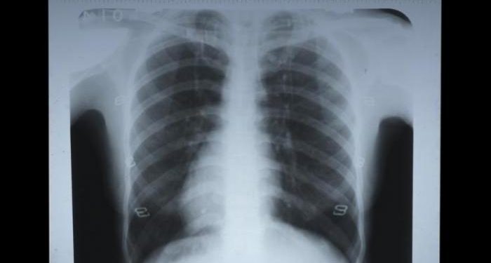
TRIBUNJATENG.COM, KUDUS – Wajah Endang sayu saat menunjukkan angka banyaknya warga Kudus yang mengidap Penyakit Paru Obstruktif Kronis (PPOK).
Penyakit yang menyerang organ vital manusia berupa paru-paru itu sepanjang Januari sampai Mei 2018 sudah mencapai 294 orang yang terserang.
Sembari membolak-balikkan berkas, perempuan yang kini menjabat sebagai Kasi Penyakit Tidak Menular (PTM) pada Dinas Kesehatan (Dinkes) Kabupaten Kudus mengaku prihatin
Selengkapnya, baca: Dalam Lima Bulan Ada 294 Orang Terserang Penyakit Paru di Kudus
Sumber: Tribun Jateng
Penulis: Rifky Ghozali

Discussion about this post